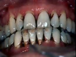
بيماري لثه و عفونت حفره دهان از عوارض استعمال دخانيات
مسئول مركز ترك دخانيات يزد به مناسبت هفته ملي بدون دخانيات گفت: در تمام افراد مصرف کننده دخانیات وجود عوارض دهانی را می توان دید ک ...
انجام طرح غربال گري فشار خون و ديابت پرسنل هلال احمر استان يزد
این طرح که به همت معاونت بهداشت و درمان هلال احمر استان برگزار شد در راستای تحقق اهداف سلامت استان و کاهش بیماریها بالاخص فشار خون ...
افتتاحیه بازسازی اتاق عمل بيمارستان شهيد دكتر رهنمون
مراسم افتتاحیه بازسازی اتاق عمل بيمارستان شهيد دكتر رهنمون با حضور خانواده معزز شهید احمدی روشن و ریاست دانشگاه علوم پزشکی يزد برگ ...
گوجه سبز فشارخون را كاهش ميدهد
يك كارشناس تغذيه بيان اين كه گوجه سبز غنی از ویتامین سی ، اسید مالیک، اسید سیتریک است افزود: مصرف زیاده از حد گوجه سبز باعث نفخ مع ...
براي زيبايي شهرم چه كاري مي توانم انجام بدهم؟(2نظر)
سيدحسن خبيري ...
عدم درمان صافي كف پا موجب كمردرد و زانو درد
/ درد كف پا از علائم صافي كف پا در بزرگسالان ...
ماهی بخورید تا افسرده نشوید
کارشناس تغذیه معاونت بهداشتی دانشگاه علوم پزشکی یزد گفت: بر اساس نتایج تازه ترین تحقیقات، جوامعی که حداقل یک بار در هفته ماهیه ...
طرح بسيج ملي ارتقاء سلامت ايرانيان تمديد شد/ مردم به مراكز بهداشتي و درماني مراجعه كنند
معاون بهداشتي وزير بهداشت درمان و آموزش پزشكي از تمديد طرح بسيج ملي ارتقاء سلامت ايرانيان در سراسر كشور خبرداد و گفت: مردم به منظ ...
یک کارشناس تغذیه: مبتلايان به فشارخون از نان سبوس دار استفاده كنند
یک کارشناس تغذیه خطاب به مبتلایان به فشارخون توصيه كرد: از مصرف غذاهاي سرخ كرده يا غذاهايي كه در درجه حرارت هاي بسيار بالا و يا با ...
شاخص های بهداشتی طبس بالاتر از میانگین استان خراسان جنوبی است
کامبیز مهدی زاده بر پیگیری مسئولان برای رفع مشکل کمبود نیروی متخصص در طبس تاکید کرد و گفت: شاخص های بهداشتی شهرستان طبس از میانگی ...
درمان رایگان بیماران طبسی توسط تیم پزشکی یزد + عکس
بسیج جامعه پزشکی استان یزد با اعزام اکیپ 45 نفره پزشکی به شهرستان طبس، زمینه بهرهمندی بیش از 1500 نفر از مردم این شهرستان از خدما ...
عادتهای نامناسب برای دندانها
دکتر علی بشارت - ایمپلنتولوژیست ...
ترمیم های هم رنگ به وسیله کامپوزیت ها
...
نماینده مردم طبس موفقیت پزشک نخبه طبسی را تبریک گفت
دکتر عبداله زاده : این اختراع که مصداق خلق حماسه اقتصادی با رویکرد خودکفایی و نوآوری جوانان ایرانی محسوب می شود، بار دیگر نام شهرس ...

شنبه 06,دسامبر,2025